A medida que aumenta la expectativa de vida de los humanos, también la posibilidad de tener catarata, según la Organización Mundial de la Salud (OMS) las cataratas son la primera causa de ceguera curable en el mundo, el 35% de las personas ciegas lo son a causa de las cataratas. De hecho, se estimó que para el 2020 habría unos 76 millones de afectados, siendo una cifra preocupante para la salud pública. Existen diferentes maneras de clasificar y diagnosticar la catarata y una de ellas es la localización de la opacidad, pudiendo ser nucleares, subcapsulares o corticales. De las anteriores, la atención será centrada en la catarata cortical.1
La catarata cortical se refiere a la pérdida en la transparencia de las fibras que pertenecen a la corteza anterior o posterior del cristalino, generando una gran diversidad morfológica y topográfica en su presentación. Dadas sus características clínicas, el paciente puede referir síntomas marcados de deslumbramiento y el compromiso en la visión dependerá del grado de afectación sobre el eje visual. Como factor etiológico de este tipo de cataratas, se cree que son predominantes las deformaciones internas y repetidas que sufre el cristalino durante el proceso de acomodación cuando aparece la presbicie, y adicionalmente, los cambios proteicos que pueden ocurrir dentro de la estructura de este lente.1,2
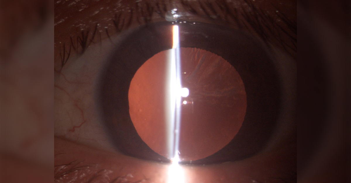
Los cambios estructurales que sufre el cristalino en la catarata cortical, se dan en la zona ecuatorial, en el límite entre el núcleo y la corteza. Se ha estudiado que la localización de las opacidades se da entre 500 y 700 µm por debajo de la cápsula del cristalino. También se ha evidenciado la desintegración local del citoplasma en forma de vesículas onduladas unidas a la membrana, que forman grupos fracturados de fibras en la zona limítrofe entre la corteza y el núcleo. Lo anterior explicaría el aspecto cuneiforme de la catarata cortical. Por otro lado, se ha descrito que las fuerzas de tensión entre el núcleo rígido y la corteza más blanda, son las responsables del daño celular observado en esta catarata. Ahora bien, como se dijo anteriormente, el esfuerzo acomodativo que sufre el cristalino, podría aumentar esta tensión y generar por lo tanto más alteración celular; sin embargo, esto aún no se ha comprobado con rigurosidad.2,3 Ver Figura 1.

Teniendo en cuenta la teoría de la influencia de la acomodación para la formación de la catarata cortical, Michael y colaboradores en 2019, realizaron un estudio con el fin comprobar la hipótesis de que entre más intenta acomodar el cristalino, más posibilidades existen de aparición de catarata cortical. Para este efecto, se usó el estado refractivo como indicador principal. Para la investigación se seleccionaron pacientes con catarata predominantemente cortical entre 50 y 90 años previamente programados para cirugía de catarata. En cuanto a la estimación del estado refractivo, se tuvo en cuenta que la refracción tiene diferentes cambios durante la edad, sobre todo cuando la catarata está desarrollándose. Por esta razón, los investigadores calcularon el error refractivo en una edad específica de 45 años, ya que, según los autores, a esta edad todavía queda un remanente importante de acomodación y la catarata aún no se ha desarrollado. Con base en lo anterior, se hizo una revisión de la literatura con el fin de analizar reportes de cambios refractivos según la edad, con el cual se usó una matriz para determinar el cambio refractivo cada año según los estudios longitudinales. Al interpolar todos los valores, se estimó el equivalente esférico del defecto refractivo que tendría el paciente a la edad de 45 años, basado también en la refracción actual.3 Ver Figura 2.

Ahora bien, que los resultados no se hagan esperar: se encontró que las cataratas corticales se presentaron en el 37% de los miopes, el 82% de los emétropes y 85% de los hipermétropes. Esta investigación proporciona evidencia importante acerca del origen acomodativo de la catarata cortical. Como se observó, los pacientes emétropes y los hipermétropes, tienen a desarrollar más este tipo de catarata que los miopes. La explicación razonable es que los pacientes miopes sin corrección no requieren ejercer con fuerza la acomodación en visión cercana; entre tanto, el hipermétrope requiere acomodar para ver de lejos, y aún más para ver de cerca.3
Lo anterior expone que, en efecto, cobra más relevancia la acomodación como causal de catarata cortical; por lo que, se debe monitorear al paciente especialmente hipermétrope, y su mayor riesgo de formación de esta opacidad.
REFERENCIAS
- Delbarre M, Froussart-Maille F. Signs, symptoms, and clinical forms of cataract in adults. J Fr Ophtalmol [Internet]. 2020;43(7):653–9. Available from: https://doi. org/10.1016/j.jfo.2019.11.009
- Michael R, D’Antin JC, Cortés LP, Burd HJ, Sheil B, Barraquer RI. Deformations and ruptures in human lenses with cortical cataract subjected to ex vivo si-mulated accommodation. Investig Ophthalmol Vis Sci. 2021;62(1):1–3.
- Michael R, Pareja-Aricò L, Rauscher FG, Barraquer RI. Cortical Cataract and Refractive Error. Ophthalmic Res. 2019;62(3):157–65.




